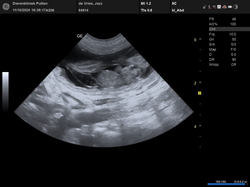
Pups verwacht van Jazz en Funny Rond 12 november verwachten we pups van Internationaal Kampioen Pepper (Jazz) en Splinterhill’s Funny Flintstone (Funny) Jazz Funny